
Well, follow the Twitter for all the impressions during the day (they’ll be posted here shortly, if not already by the time I’ve done this).
Broad outline of the day’s events:
- I decide to work from home due to the weather.
- Margie walks Katherine up to Kendall & Tyler’s house to catch the bus. It’s very cold and the bus is usually running late, so they all go inside.
- Margie spots the bus coming, and hurries out to let the driver know that, yes, there are kids to pick up here. Hits a slick part of the paving along the driveway, slips and falls. She thought she had a very bad sprain, and started to hobble home, until she misstepped again and went down, and realized it was actually broken — and that it was slick enough to make it difficult for her to get up (or anyone to help her get up).
- Paula (K&T’s mom) comes running over to the house, where I’m on a conference call. I run into the 5-degree chill with no jacket and just slippers on. Lucinda, a neighbor from up the street, calls 911.
- South Metro Fire Rescue responds within a couple of minutes (they’re also only just a large block away). Both an engine and a paramedic van rolls. They assess the situation, are professional and helpful (special kudos to Laura Goldin), and transport Margie off to Littleton Adventist.
- I’ve put on a jacket and snow boots by now, and I run into the house, grab a bag full of books and sudoku puzzles, send an out-of-office message to my teams, and head over there.
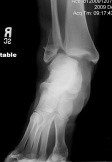
- Margie’s on an ER table. They do x-rays, give her a couple of different pain meds (one of which makes her pretty nauseous), and splint up her leg. They contact Kaiser Permanent (her insurance) to see if they want her treated there or to go through KP’s clinic/hospital system. KP indicates the former, so the ER teams wraps things up and discharges her.
- Once I get wind that I might be transporting her somewhere, I realize (esp with her splint extended up her full leg) that the Subaru is not going to suffice. I jaunt home, to find a message from KP’s orthopedics department already on the answering machine. I call Margie, let her know (huzzah for the cell phone era), grab the van, and come back to pick her up. She manages to do okay in the middle seats with the passenger front seat slid all the way forward.
- We pick up good drugs at the nearest KP clinic.
- We have an appointment at Franklin Clinic at 2:30. We get there, I learn about the wonders of wheel chairs and juggling a passenger who can’t walk (though she has a nice pair of crutches from the first hospital). I get her inside, then get the van parked.
- Inside, we get referred up to Orthopedics. Supposedly they are going to take x-rays at 2:30, prefatory to a 3:00 meet with the Orthopod. Instead, we hang out until close to 4 before we see the Orthopod, he sends us across the hall for x-rays, we go back, and he informs us that (a) yes, both bones are broken, (b) Littleton Adventist did a piss-poor job in setting the bones because there’s still a big piece of bone pressing outward. Ick.
- KP Orthopedics sends us down the street to St Joseph’s ER (which is KP’s contract hospital). Margie gets asked the same questions she’s already given a dozen times a dozen more times. She eventually gets a room in the ER. It’s around 5 now, and the Percocet she took at 1 is beginning to seriously fade.
- Around 6, the ER team sets to work in resetting the ankle. They moderately sedate her (enough so she’s out of it, not so much they need special anaesthesiological measures). I get sent out to the waiting room, where I sit for about an hour — only to be told by the helpful PA that it only took about 10 minutes, went swimmingly, and Margie’s been asking for me for a while, so I might as well go in. Dark fantasies of tragic medical accidents disappear into a puff of irritation.
- Margie’s doing much better, though she starts to fade pretty quickly. It turns out the new plan is that they are going to admit her, she is going to get plenty of overnight meds, some food (she’s not eaten all day), and they’ll try to get her in the ER Tuesday morning. Huzzah.
- We call Paula, who’s been watching after Katherine, and she’s more than happy to let K sleep over.
- An hour and change later, someone finally comes to transport her to her room. Since they were to give her new pain meds there, she’d been holding off on having anything in the ER, and is beginning to feel pretty uncomfortable.
- The floor nurse who is just going off-duty gets us tucked into her room (a very nice former suite) around 8:15. She says she’s going to hand us off to the next floor nurse, who will be back shortly.
- Finally, 9 o’clock rolls around. Margie is still hungry, she is in more pain, she is cold (and there are no extra blankets in the room), and the nurse has not been there. Her doc (PA?) from the ER comes in to see how she’s doing and update her on the plans. We bitch and moan about how we haven’t seen hide nor hair of nurse, food, or meds. He trundles off, comes back about 10 minutes later to say that she should be in shortly.
- Ten minutes later, we ring the nurse desk. We’re assured our nurse will be told of our needs.
- Ten minutes later, at 9:30, I go in search of nurse. I find the main desk, ask what the hell is going on with my wife’s pain meds, originally prescribed 2.5h ago, etc. I am assured that Kelly is making her rounds with the meds and will be there shortly.
- Fifteen minutes later, Kelly finally shows up, an hour and a half since we arrived in the room. She is not greeted warmly by Margie, who notes that she is cold, hungry, very thirsty (no water today, either, except ice chips at Littleton), and in pain. The nurse makes some very lame excuses about how she’s just been called in, how the Rx was just filed, etc. Margie will have none of it.
- Nurse Kelly plies Margie with meds, confirms that, yes, she can have water, and that she can also havfe some food (pre-packaged sandwiches, etc.).
- Around 10:20, I head home. A very long day.
Some of the times above may not add up, but it was a pretty frustrating experience. “In just a minute” means more like “probably a half hour from now,” it seems, esp. at St Joe’s. Also, lesson learned: if offered some sort of pain med, take it then, don’t wait until you think the time is right or you are seriously hurting.
Slight change in game plan for tomorrow. Margie will most likely not get into the OR until early afternoon. I plan on working from home until lunch, then heading up, so I should be there for the pre-op, etc. Unless plans change again.
Okay — pretty tired now. Time for bed.
Hoping for a fast recovery… and best wishes all around. Not a good start to the Holidays.
Hospitals are just not any fun.
Merry Christmas!
Well, if all goes according to plan (ha!), she should be outpatient after her surgery. However, hobbling around in a cast for the holidays is likely not to be much fun.
Lots of love, hugs and prayers to all three of you from Margie’s other parents, aka Dave’s parents aka Nona and Nono.
🙂